Dental Cleaning & Polishing — Preventive Dentistry

This is your routine professional cleaning (often called a "prophy"). The hygienist carefully removes plaque and hardened tartar (calculus) from the tooth surfaces and finishes with a polishing paste to make your teeth smooth and shiny.

Why is the treatment important?

It is the most important step in preventing gum disease and cavities. Even excellent home brushing can't remove hardened tartar; a professional cleaning maintains your gum health, freshens your breath, and helps us spot issues early.

What not to eat after treatment

You can generally eat and drink normally right after a routine cleaning. If you receive a fluoride treatment afterward, avoid food and drink for 30 minutes.

Book Consultation

Tooth Fillings — Restorative Dentistry

A tooth filling is a way to repair a tooth damaged by decay (a cavity). The dentist removes the decayed material and then fills the space with a durable material, usually tooth-colored composite resin, to restore the tooth's shape and function.

Why is the treatment important?

Fillings stop decay from spreading deeper into the tooth, preventing the need for more complex procedures like root canals or extractions. They eliminate pain and sensitivity caused by cavities and restore your ability to chew comfortably.

What not to eat after treatment

Wait until the numbness wears off to avoid biting your cheek or tongue. For composite (white) fillings, you can generally eat immediately. For silver (amalgam) fillings, we advise avoiding hard or sticky foods for 24 hours to let the filling fully set.

Book Consultation

Wisdom Tooth Removal — Oral Surgery

Wisdom teeth are the last set of molars to erupt. Removal is a common surgical procedure for teeth that are impacted (stuck beneath the gum line) or are causing crowding, pain, or recurrent infection in the back of the jaw.

Why is the treatment important?

Removing problematic wisdom teeth prevents serious issues such as shifting of other teeth, damage to adjacent molars, severe infection, and the formation of cysts or tumors in the jaw. It is a preventative measure for long-term oral health.

What not to eat after treatment

Same as Tooth Extraction: Stick to soft foods for several days. Avoid straws, smoking, spitting, and crunchy/chewy foods to ensure the surgical sites heal properly and to prevent the painful condition of dry socket.

Book Consultation

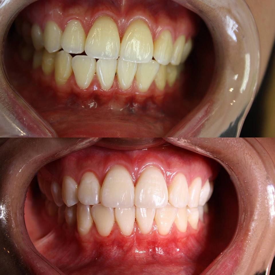
Scaling & Root Planing — Deep Cleaning

Often called a "deep cleaning," this two-part procedure treats gum disease. Scaling removes hardened plaque (tartar) both above and below the gum line, and Root Planing smooths the tooth roots, making it harder for bacteria to reattach.

Why is the treatment important?

It is essential for stopping the progression of gum disease (periodontitis). This treatment prevents bone loss around the teeth, eliminates chronic bad breath, stops gum recession, and ultimately saves your teeth from needing extraction.

What not to eat after treatment

For the first 24-48 hours, avoid very hot and very cold foods to minimize sensitivity in the treated areas. Also, avoid extremely chewy or very hard foods that require excessive chewing on the day of the procedure.

Book Consultation

Smile Makeover — Cosmetic/Comprehensive

A Smile Makeover is a customized treatment plan that combines two or more cosmetic and restorative procedures (like veneers, whitening, bonding, or gum contouring) to completely transform the appearance and function of your smile based on your unique goals.

Why is the treatment important?

A smile makeover is important for restoring full confidence and self-esteem. By correcting multiple aesthetic and functional issues simultaneously, it dramatically improves your overall facial harmony and quality of life.

What not to eat after treatment

The restrictions depend entirely on the procedures involved. If it includes veneers or crowns, you should avoid biting into very hard or sticky foods on the treated teeth. Your dentist will provide specific instructions tailored to your final plan.

Book Consultation

Teeth Whitening — Cosmetic Dentistry

A professional cosmetic procedure that safely removes stains and brightens the natural color of your teeth. We offer both in-office power whitening (fast results) and professional at-home kits (gradual results).

Why is the treatment important?

Whitening is the quickest way to revitalize your smile and boost your confidence. It erases years of discoloration from coffee, tea, and aging, giving you a brighter, more youthful appearance without altering the structure of your teeth.

What not to eat after treatment

For the first 24-48 hours (the "White Diet"), strictly avoid any dark or heavily colored foods and drinks, as your teeth are highly porous and susceptible to staining. This includes coffee, tea, red wine, dark sodas, berries, curry, and tomato sauce.

Book Consultation

Veneers — Cosmetic Dentistry

Veneers are ultra-thin, custom-made porcelain shells that are bonded to the front surface of your teeth. They instantly correct issues like chips, gaps, severe discoloration, and minor misalignment to give you a perfect, uniform smile.

Why is the treatment important?

Veneers are a permanent way to achieve a complete smile transformation and boost your self-confidence. They are highly stain-resistant and provide a natural, beautiful appearance that can last for many years with proper care.

What not to eat after treatment

Avoid very hard foods (like biting into hard candy, nuts, or ice) and using your veneered teeth to tear things open, as this can cause them to chip or detach. Stick to normal, non-excessively hard foods and cut them into smaller pieces.

Book Consultation

Minor Oral Surgery

Minor oral surgery includes common procedures like wisdom tooth removal, removing a broken tooth, or preparing the jaw for dentures. It's a quick, safe procedure performed in-office to resolve pain or prepare for restorative treatment.

Why is the treatment important?

These surgeries prevent further health complications. Removing a problematic tooth or impacted wisdom tooth stops severe pain, prevents infection from spreading, and protects the health of your remaining teeth and jawbone.

What not to eat after treatment

For the first few days, stick to a diet of soft, cool, or lukewarm foods (like yogurt, soup, smoothies, mashed potatoes). Crucially, avoid drinking through a straw and eating hard, crunchy, or chewy foods (like popcorn, chips, or nuts) as these can dislodge the blood clot and cause a painful condition called "dry socket."

Book Consultation

Cyst & Tumor Removal — Oral Pathology

This is the surgical removal of abnormal growths (cysts or tumors) found in the jaw, gums, or soft tissues of the mouth. The tissue is typically sent to a lab for analysis to ensure an accurate diagnosis and treatment plan.

Why is the treatment important?

Early identification and removal are critical for your overall health. Cysts and tumors can destroy the surrounding bone, teeth, and tissue. Prompt removal stops growth, prevents complications, and provides peace of mind.

What not to eat after treatment

Follow the same guidelines as Minor Oral Surgery: soft, cool, or lukewarm foods only for the first week. Avoid spicy foods, carbonated drinks, straws, and anything hard or crunchy that could irritate the surgical site while it heals.

Book Consultation

Facial Trauma Care — Oral Surgery / Emergency

Emergency treatment for injuries affecting the face, mouth, and jaws. This includes repairing broken or dislodged teeth, treating fractured jawbones (mandible/maxilla), repairing cuts to the gums and lips, and managing facial wounds.

Why is the treatment important?

Immediate treatment is crucial to restore full function, minimize scarring, and prevent severe long-term complications. Prompt care ensures fractures heal correctly and saves as many natural teeth as possible.

What not to eat after treatment

This depends entirely on the nature of the injury. If you have any jaw fractures or significant soft tissue repair, you will likely be on a liquid or extremely soft diet for several weeks. Follow your surgeon's specific instructions meticulously.

Book Consultation

Kids Dental Check-up — Pediatric Dentistry

A foundational visit for children, usually every six months, which includes an examination of the teeth and gums, gentle cleaning, and monitoring of oral development. We focus on making the experience positive and fun!

Why is the treatment important?

Regular check-ups are essential for preventing childhood cavities and ensuring proper growth. We detect problems early, apply protective treatments (like fluoride/sealants), and teach children lifelong healthy habits.

What not to eat after treatment

If your child receives a fluoride varnish, they should avoid hot, hard, or sticky foods for the rest of the day. Otherwise, they can resume their normal, healthy diet immediately.

Book Consultation

Fluoride Treatment — Preventive Dentistry

A quick, simple professional treatment where a highly concentrated varnish or gel is applied to the surface of your teeth. Fluoride is a natural mineral that helps strengthen the tooth enamel.

Why is the treatment important?

Fluoride treatments are a powerful tool for preventing cavities and reducing sensitivity. They help your teeth resist acid attacks from bacteria and sugar, reversing early signs of tooth decay before a filling is even needed.

What not to eat after treatment

Avoid eating or drinking anything for 30 minutes after the treatment to allow the fluoride to be fully absorbed into the enamel. After that, for the rest of the day, avoid hot liquids, alcohol, and brushing your teeth until the next morning.

Book Consultation

Full Mouth Rehabilitation — Comprehensive/Reconstructive

A Full Mouth Rehabilitation is a complete restoration of your bite, function, and aesthetics. This extensive plan uses a combination of restorative procedures (like implants, crowns, bridges, and complex fillings) to address numerous missing, worn, or damaged teeth.

Why is the treatment important?

It is essential for patients with widespread dental problems to restore proper chewing function and eliminate chronic pain. This treatment reconstructs your entire bite (occlusion), improving your health, digestion, and ability to speak and eat naturally.

What not to eat after treatment

This is a complex, multi-stage process. You will be given specific, strict instructions for each stage. Generally, you must avoid hard, sticky, or crunchy foods during the temporary phase and be cautious even with the final restorations to protect your investment.

Book Consultation

Braces (Metal / Ceramic) — Orthodontics

Traditional braces use brackets (metal or clear ceramic) bonded to your teeth and connected by a wire. They apply continuous, gentle pressure to gradually move your teeth into the correct alignment, improving your bite and smile appearance.

Why is the treatment important?

Straight teeth are easier to clean, which reduces the risk of cavities and gum disease. Correcting a bad bite (malocclusion) prevents excessive wear on teeth, jaw pain, and improves your ability to chew and speak.

What not to eat after treatment

Avoid all hard, sticky, or chewy foods that can break the brackets or bend the wires. Examples include ice, nuts, hard candy, popcorn, caramels, taffy, and bagels. Cut hard fruits and vegetables into small pieces.

Book Consultation

Invisalign / Clear Aligners — Orthodontics

A modern, discreet way to straighten teeth using a series of custom-made, virtually invisible plastic trays (aligners). You wear each set for about two weeks, gradually moving your teeth without the need for fixed wires or brackets.

Why is the treatment important?

Like traditional braces, aligners improve your oral health by making teeth easier to clean and correcting bite issues. The key benefit is the convenience and aesthetics—they are removable for eating and brushing and are nearly invisible.

What not to eat after treatment

None! The major advantage is that you remove the aligners before eating and drinking, so you can eat whatever you want. Exception: Do not chew gum while wearing the aligners, and only drink plain water while they are in your mouth.

Book Consultation

Crowns and bridges — Restorative Dentistry

A Crown is a custom-fitted "cap" that covers an entire damaged, broken, or heavily filled tooth. A Bridge is used to replace one or more missing teeth by joining artificial teeth to crowns placed on adjacent natural teeth.

Why is the treatment important?

Crowns protect weakened teeth from fracturing and restore a natural shape. Bridges restore your chewing function and prevent the surrounding teeth from shifting into the empty space, maintaining the alignment of your bite.

What not to eat after treatment

While wearing temporary crowns or bridges, avoid hard, sticky, or very chewy foods that could pull them off. Once the final restoration is permanently cemented, be cautious about biting very hard objects (like ice) to prevent chipping the porcelain.

Book Consultation

Root canals — Endodontic Treatment

A procedure to save a tooth that has a badly infected or inflamed nerve (pulp) inside the tooth root. The dentist cleans out the infection, sterilizes the inner chamber, and seals it to prevent future bacteria from entering.

Why is the treatment important?

A root canal saves your natural tooth from needing extraction. It stops severe pain and swelling caused by the infection, and after the tooth is restored (usually with a crown), it can function normally for a lifetime.

What not to eat after treatment

While you have a temporary filling/crown, avoid chewing hard, crunchy, or sticky foods on that side of the mouth to prevent the temporary restoration from breaking or falling out. Wait until the permanent crown is placed before resuming a normal diet.

Book Consultation

Dental implants — Restorative / Surgical

Dental implants are the most permanent and natural-feeling solution for replacing missing teeth. A small titanium post is surgically placed into the jawbone to act as a stable tooth root, and a custom-made crown is attached on top.

Why is the treatment important?

Implants restore full chewing power, prevent the surrounding bone from dissolving (bone loss), and stop adjacent teeth from shifting into the empty space. They look, feel, and function exactly like natural teeth.

What not to eat after treatment

Immediately after the surgery, stick strictly to soft foods for 7-10 days (smoothies, mashed potatoes, well-cooked pasta). Avoid crunchy or hot foods and do not chew directly on the surgical site until the implant has fully integrated with the bone (a process called osseointegration).

Book Consultation

Tooth Extraction/impaction — Tooth out, Relief in

A dental extraction is the safe removal of a tooth that can't be saved. We keep the process quick, comfortable, and explained step-by-step.

  • What it is: A dental extraction is the removal of a tooth that cannot be saved. It protects your overall oral health.
  • Why it may be needed: Severe decay, advanced gum disease, broken/cracked tooth, infected root that can’t be fixed by root canal, crowding for braces, or impacted wisdom teeth.
  • During the Procedure: We use numbing medicine so you feel pressure, not pain. Steps are: numbing → loosen tooth → remove tooth → place gauze. It usually takes only minutes.
  • Pain Expectation: Should not feel pain during the procedure. After numbness wears off you may feel soreness—this is normal and manageable with medication.
Book Consultation

Flap Surgery — Gentle Gum Treatment

Flap surgery helps treat advanced gum disease by allowing the dentist to clean and repair the area below the gum line. It improves gum health and helps save teeth.

Why It's Done ?
  • Remove deep infection: Cleans tartar and bacteria under the gums.
  • Reduce deep pockets: Helps gums reattach to the teeth.
  • Access damaged bone: Repairs or smooths bone if needed.
Book Consultation

TMJ Disorders

Temporomandibular Joint Disorders (TMJ or TMD) affect the joint that connects your jaw to your skull. When this joint becomes strained or misaligned, it can cause pain, difficulty opening the mouth, and discomfort while chewing. At our dental clinic, we offer advanced evaluation and personalised treatment options to restore comfort and function.

Causes of TMJ Disorders

TMJ problems can occur due to:

  • Teeth grinding (Bruxism)
  • Jaw injury or trauma
  • Arthritis in the jaw joint
  • Bite misalignment
  • Stress leading to muscle tension
  • Habitual clenching
  • Certain dental conditions
Book Consultation

Cleft lip and palate

A cleft lip and/or cleft palate is a congenital condition where the lip or the roof of the mouth does not fully form during early development. This can affect a child’s appearance, speech, feeding, dental growth, and overall oral health.

At our clinic, we provide supportive dental care as part of a multidisciplinary approach to help patients achieve healthy function, aesthetics, and confidence.

What Are Cleft Lip & Cleft Palate?
Cleft Lip

A separation or opening in the upper lip that may appear as:

  • A small notch in the lip
  • A large gap extending to the nose
  • On one side (unilateral) or both sides (bilateral)
Cleft Palate

An opening in the roof of the mouth that may include:

  • The soft palate
  • The hard palate
  • Both areas
Book Consultation

Want to schedule an appointment?

Appointment